how braces work time lapse
In this video youll see how braces work. This is my braces time lapse from start to finish.
How Braces Work Cg Timelapse Stock Video Download Video Clip Now Dental Braces Dental Health Orthodontist Istock
Time Lapse - 3D animation of how your teeth get straight with orthodontic self-ligating brackets.
. Compare the Top Rated Providers 2022. Baron explains how wires are tied to braces and how the wires move teeth. However this one-minute time lapse video provides a rare insight into how braces actually work.
Straight teeth in under 60 seconds. Created in 3D Studio Max and composed in After Effects. Braces insane ortadontist orthopedic time lapse works.
Here is a time lapse video showing how braces work. Having straight teeth and a properly aligned jaw can impact not only your appearance but your. Computer generated teeth straightening with self-ligating semi-aesthetic braces.
Looking for the Best Invisible Braces for your Teeth. Braces work by exerting pressure on your jawline to change the way your smile appears. However this one-minute time lapse video provides a rare insight into how braces actually work.
Braces work by exerting pressure on your jawline to change the way your smile appears. Download this How Braces Work Cg Timelapse video now. Search by image or video.
This is the only orthodontic system which allows for the movement of a tooth in any direction including turning it axially. Here is a time lapse video showing how braces work. The clip created presumably quite a long time ago by the American Association of Orthodontists depicts how an 11-year-olds crooked teeth were aligned over a period of 18 months.
Though painful and awkward the braces are a necessary evil that improve the quality of smile and strengthens the teeth which otherwise would have remained crooked. With the help of special glue braces are attached to the surface of the. Up to 10 cash back Time Lapse - 3D animation of how your teeth get straight with orthodontic self-ligating brackets.
How Braces Work In This Amazing Time-Lapse. Braces are the most effective and comfortable way for correcting a bite. Braces are the awkward teenage rite of passage that most teenagers have to endure.
HOW BRACES WORK Read More. How braces work time lapse animation. The best way to keep your teeth white depends on your age.
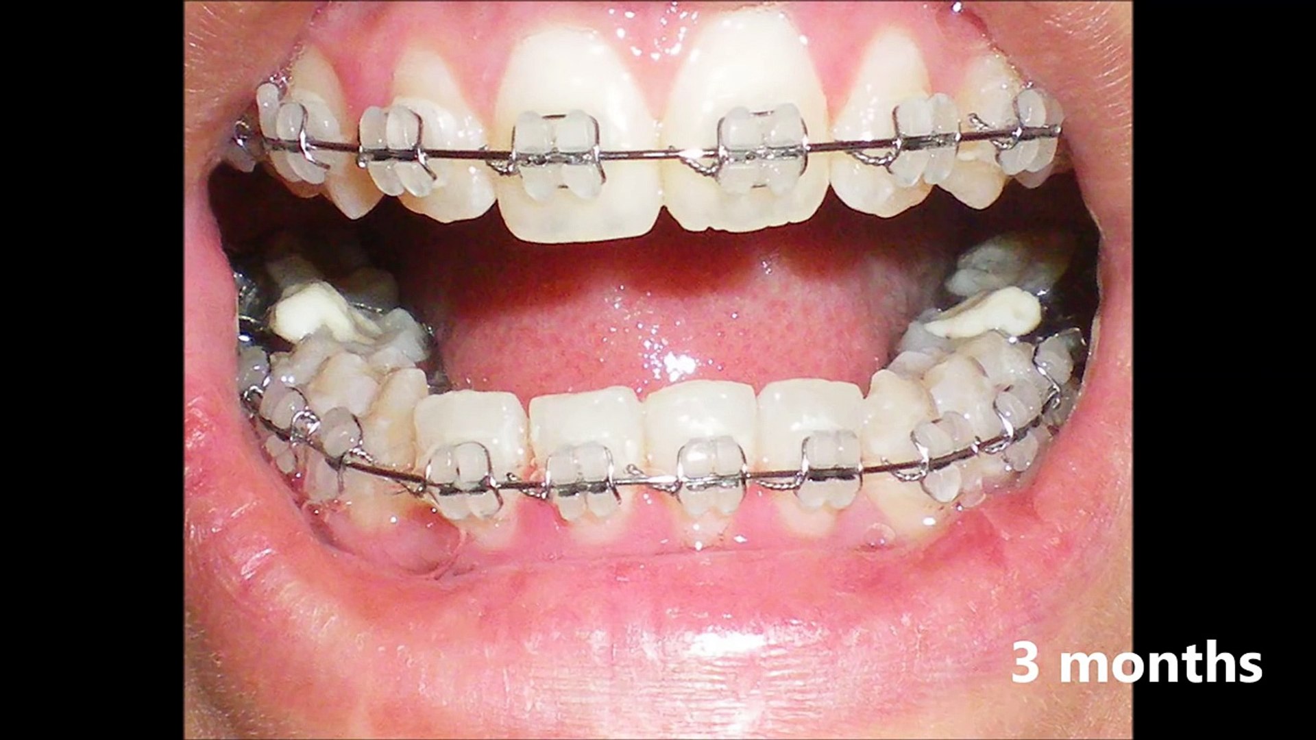
Ad Compare Cost Rankings Breakdowns of Invisible Braces Companies 2022 - All in 1 Place. The video is on the last. My treatment quote was 18-24 months My full treatment time was 29 months or 2 years and 5 m.
Have you ever seen how braces work on crooked teeth watch this time lapse video and be amazed. Have you ever wondered how braces move teeth. Have a look at the amazing time-lapse of braces in action in under 60 seconds 14k.
Its important to note that. Here we have a time lapse video which shows how braces do their magic on the teeth of an 11 year old girl. In this amazing time-lapse video youll see a crooked smile being gradually transformed into a dazzling one as the braces slowly repostion the teeth into place.
And search more of iStocks library of royalty-free stock video footage that features Dental Braces video available for quick and easy download. Braces are the awkward rite that most teenagers have to through but in the long run they are helpful. What do you think.
Check this out as Dr. Technologys a marvelous thing. Its quite extraordinary to think that a bit of wire and just the right amount of pressure can do this.
Alexis Timelapse Congratulations Alexis On Getting Your Braces Off We Are So Excited About Your Smile Transformation Theartofbraces Braceslasvegas Lasvegasbraces By The Art Of Braces Facebook
Time Lapse Orthodontics Full Braces
Debunking The Top Braces Excuses My Dental Practice Website Ericka Sample
Full Braces Time Lapse Youtube
Braces Before And After Time Lapse Alfalah Dental Lab Supply
Video Uncomfortable Time Lapse Shows How Braces Put Your Teeth Back In The Right Spot Nine Com Au
Computer Generated Teeth Crowding Timelapse Stock Video Download Video Clip Now Dental Braces Dental Health Dental Equipment Istock
Ace S Smile Transformation Time Lapse Congratulations On Getting Your Braces Off Ace We Hope You Love Your New Smile As Much As We Do By The Art Of Braces Facebook
Braces Time Lapse Transformation Before And After Video Dailymotion
Braces Time Lapse March 2017 To March 2019 Youtube
What To Expect During Brace Treatment The Active Phase Queensway Orthodontics Blog
Straightening Teeth With Dental Braces An 18 Month Time Lapse The Kid Should See This
Braces Time Lapse Impacted Canine Before And After
Braces Photo Taken Every Day Before And After Transformation Ortho Hey Snaggle Tooth Getting Braces Dental Braces Teeth Braces
Nogales Kyger Orthodontics Blog
My Braces Journey 16 Month Timelapse Youtube
Braces Before And After Time Lapse Youtube
I M In My Mid 30 S And Have Had Braces For A Bit Over 2 Months Now Album On Imgur
